DENTAL HUNGARY

Implant Cases

Case study 1 - Sinus floor augmentation (sinus-lift) with 3 Camlog Dental Implants

imgi_15_area-for-bone-grafting

This X-ray shows (dotted area) where BIO-OSS bone grafting material has been surgically placed in order to lift the maxillary sinus floor and in that way increase the height of the jaw bone.

This X-ray shows the build up of bone after 6 months healing period, with sufficient bone height for safe placement of implants.

This X-ray shows 3 CAMLOG implants placed.

Case study 2 - Removable dentures with metal support bar anchored on 4 Camlog Dental Implants

imgi_18_x-ray-after

This X-ray shows 4 CAMLOG implants placed in the lower jaw.

imgi_19_metal-frame-for-prosthesis

This picture shows metal bar (that will support dentures) secured on implants following 4 months healing period after initial placement of implants.

imgi_20_bottom-view-of-prosthesis

This picture shows the bottom view of the denture with anchoring slots clearly visible.

This picture shows removable dentures securely anchored onto metal support bar.
Great advantage of this type of denture is that it always stays securely in place and in that way eliminates embarrasing situations where conventional dentures may suddenly “pop out” during the meal or in the middle of the sentence.

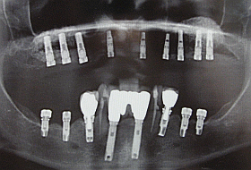
Case study 3 - Full mouth reconstruction with 10 Branemark - Nobel Biocare Dental Implants utilising All-on-6 & All-On-4 systems

imgi_22_opg-all-on-6-4-implants

This X-ray shows the final result with All-on-6 (for the upper jaw) & All-on-4 (for the lower jaw) systems where 10 NOBEL BIOCARE – BRANEMARK dental implants were used. This treatment required 6 months healing period between initial placment of implants and fitting of final bridges.
In order to make All-on-6 & All-On-4 restorations successful, some Branemark implants are placed at an angle (see X-ray photo), requiring careful planning and placement of implants, which would in turn provide maximum strength to support final restorations to be screwed onto implants.

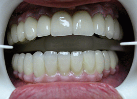
This picture shows the final result – 2 full dental bridges screwed onto implants – completing full mouth restoration with All-on-6 & All-on-4 dental implant systems.

To provide natural look to final restorations, outer bridge framework was made of pink porcelain (to imitate natural gum), which also allows for the crowns to be made to the proportion and look of natural teeth.

imgi_24_before-treatment

This picture shows the patient’s facial features BEFORE the treatment – notice how patient’s lips are sagging as there are no teeth to support them naturally.

imgi_25_after-treatment

This picture shows the patient’s facial features AFTER the treatment – patient’s lips are now fully supported by restorations achieving natural look, giving this patient confidence to smile again!

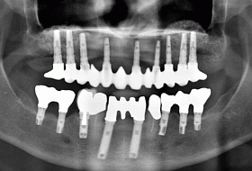
Case Study 4 - Full mouth reconstruction with 9 Camlog & 8 Branemark - Nobel Biocare Dental Implants (patient already had 4 Branemark dental implants before this treatment)

This CT scan shows the status before the treatment – existing 4 Branemark implants in the lower front jaw (this treatment was done by another clinic some years prior to this treatment) and absence of teeth in the lower back right and left. Upper jaw bone has deteriorated due to absence of all teeth and years of wearing full denture.
In order to make it possible to place implants in the upper jaw, sinus lifts (right and left) were required as well as cortical bone transplant from the patient’s hip to the front area of the upper jaw bone. Patient’s denture was also adjusted following bone augmentation, which required 6 months healing period before implants can be placed.

This X-ray shows 9 CAMLOG dental implants (upper jaw) & 4 NOBEL BIOCARE – BRANEMARK dental implants (lower jaw) placed, which required another 6 months healing period before final restorations can be safely loaded onto implants.

Following the placement of implants, patient’s dentures were adjusted again.

imgi_28_opg-9Camlog-4Branemark-with-bridges

This X-ray shows the final result with the full arch 12 unit dental bridge secured onto 9 Camlog implants (upper jaw) and 4 new dental bridges secured onto 8 Branemark (4 new and 4 previously placed) implants.

Successful sinus lifts and cortical bone transplant, which were required to build up the upper jaw bone, are also visible on this X-ray. Safe placement of implants would not have been possible without those bone augmentation procedures.

This picture shows the final result – 5 dental bridges secured onto 17 implants and 2 existing teeth, which completed full mouth reconstruction and eliminated the need for loose dentures.

When this treatment was completed, it gave this patient full confidence to smile again and ability to bite into an apple without worrying about dentures/restorations coming out!