DENTAL HUNGARY

Before & After

Before & After - Dental Crowns, Porcelain Veneers, Dental Bridges, ZOOM! teeth whitening ...

In this photo gallery you will be able to see whole spectra of cosmetic and restorative dental work – from 4 Zirconium full ceramic crowns or 6 porcelain veneers and up to full restorations with 26 dental crowns.

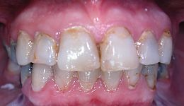
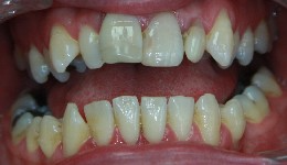
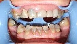
imgi_15_1-before
Before
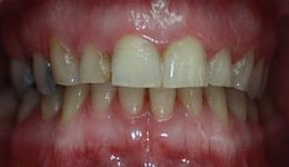
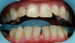
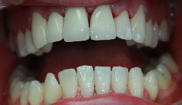
imgi_16_1-after
After

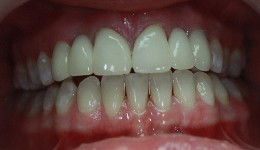
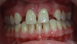
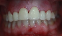
13 Zirconium - all ceramic dental crowns

Multiple root canal treatments, build-ups with posts with 13 Zirconium – all ceramic dental crowns made from Noritake dental porcelain.

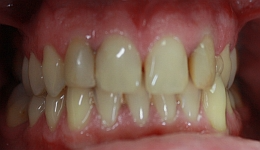
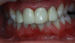
imgi_17_2-before
Before
imgi_18_2-after
After

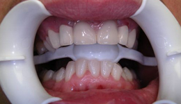
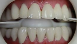
Zirconium - all ceramic dental bridge

Zirconium – all ceramic 6 unit upper front dental bridge crafted from Noritake dental porcelain fitted after complete upper and lower ZOOM! teeth whitening.

imgi_19_3-before
Before
imgi_20_3-after
After

PFM - porcelain fused to metal dental bridge

Front upper 6 PFM – porcelain fused to metal dental bridge fitted after complete upper and lower ZOOM! teeth whitening.

imgi_21_4-before
Before
imgi_22_4-after
After

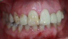
23 PFM - porcelain fused to metal dental crowns

Multiple root canal treatments, build-ups with posts with 23 PFM – porcelain fused to metal dental crowns and bridges.

imgi_23_5-before
Before
imgi_24_5-after
After

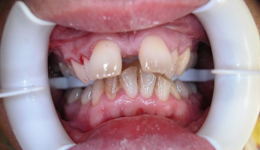
21 Zirconium - all ceramic dental crowns

Multiple root canal treatments, build-ups with posts with 21 Zirconium – all ceramic dental crowns and bridges made from Noritake dental porcelain.

imgi_25_6-before
Before
imgi_26_6-after
After

26 PFM - porcelain fused to metal dental crowns

Multiple root canal treatments, build-ups with posts with 26 PFM – porcelain fused to metal dental crowns and bridges.

imgi_43_15-before
Before
imgi_44_15-after
After

17 PFM - porcelain fused to metal dental crowns & 6 White composite fillings

Multiple root canal treatments, build-ups with posts, 6 white composite fillings with 17 PFM – porcelain fused to metal dental crowns fitted after complete upper and lower ZOOM! teeth whitening.

imgi_29_8-before
Before
imgi_30_8-after
After

7 Zirconium - all ceramic dental crowns

Front upper 7 Zirconium – all ceramic dental crowns made from Noritake dental porcelain fitted after complete upper and lower ZOOM! teeth whitening.

imgi_31_9-before
Before
imgi_32_9-after
After

8 White composite fillings & 8 PFM - porcelain fused to metal dental crowns

Multiple root canal treatments, build-ups with posts, 8 white composite fillings with 8 PFM – porcelain fused to metal dental crowns fitted after complete upper and lower ZOOM! teeth whitening.

imgi_33_10-before
Before
imgi_34_10-after
After

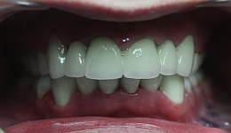
6 Zirconium - all ceramic dental crowns

Front upper 6 Zirconium – all ceramic dental crowns made from Noritake dental porcelain fitted after complete upper and lower ZOOM! teeth whitening.

imgi_35_11-before
Before
imgi_36_11-after
After

Combination of 6 Zirconium & 16 PFM dental crowns

Front upper 6 Zirconium – all ceramic dental crowns made from Noritake dental porcelain & 16 PFM – porcelain fused to metal dental crowns fitted after ZOOM! teeth whitening of back teeth.

imgi_37_12-before
Before
imgi_38_12-after
After

Combination of 6 Zirconium & 18 PFM dental crowns

Multiple root canal treatments, build-ups with posts, front upper 6 Zirconium – all ceramic dental crowns made from Noritake dental porcelain & 18 PFM – porcelain fused to metal dental crowns.

imgi_39_13-before
Before
imgi_40_13-after
After

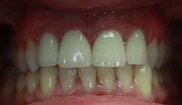
4 Zirconium - all ceramic dental crowns

Front upper 4 Zirconium – all ceramic dental crowns made from Noritake dental porcelain.

imgi_41_14-before
Before
imgi_42_14-after
After

10 Zirconium - all ceramic dental crowns

Upper 10 Zirconium – all ceramic dental crowns made from Noritake dental porcelain fitted after ZOOM! teeth whitening.

imgi_27_7-before
Before
imgi_28_7-after
After

6 Porcelain Veneers

Front upper 6 porcelain veneers crafted from Noritake dental porcelain.